
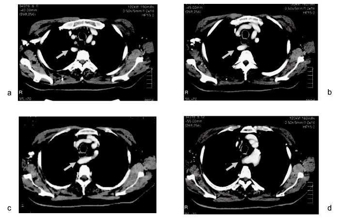
Fig. 2
Enhanced computed tomography showing a right retroesophageal subclavian artery (gray arrow), which arises from the aortic arch as its 4th branch (d), and runs rightwards between the esophagus and the vertebra (c, b) and upwards along the right side of the esophagus (a).