Fig. 1

Fig. 1

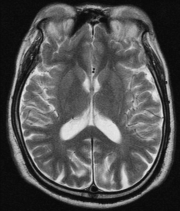
Typical Grade 0 case, a 55-year-old male who had no T2-elongated spots in any of the axial T2-weighted images.