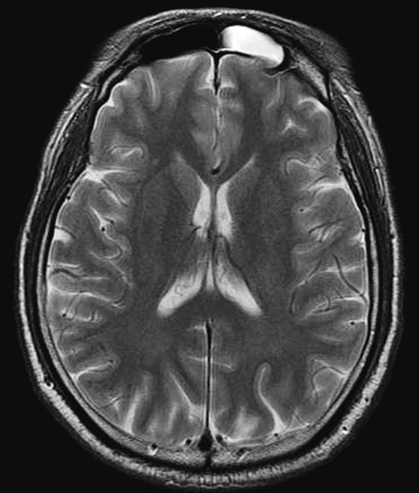
Fig. 2

Fig. 2

Typical Grade 3 case, a 59-year-old male who had 17 T2-elongated spots (White arrow) in the axial T2-weighted images.