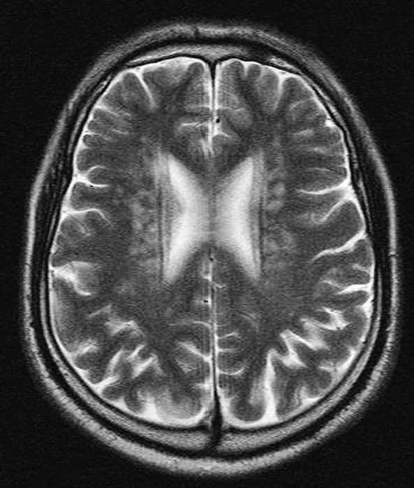
Fig. 3

Fig. 3

Typical Grade 5 case, a 61-year-old male who had many T2-elongated spots whose borders were connected in the basal ganglia (Arrow head).